

01
Ane:
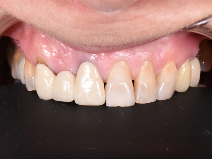
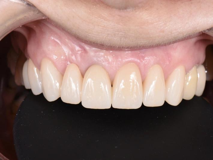
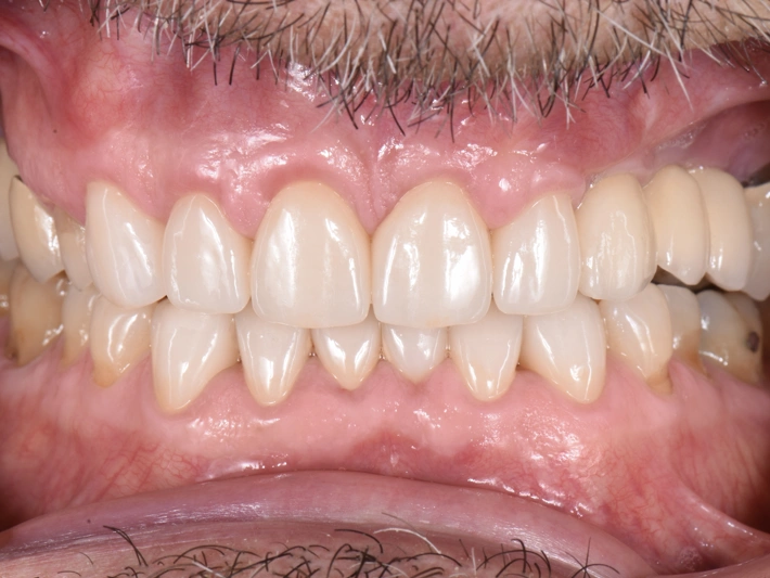
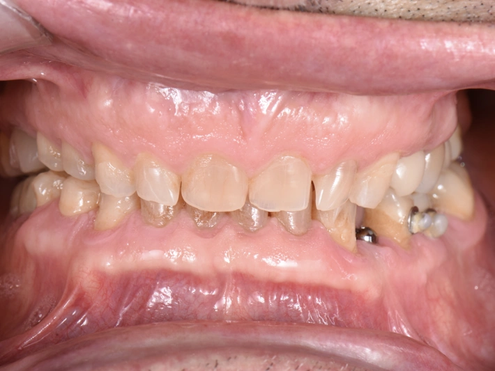
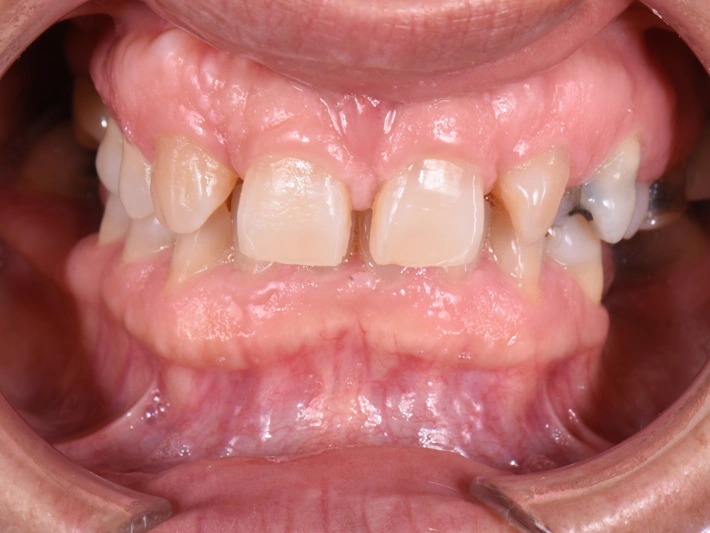
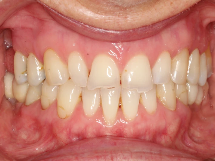
La paciente estaba descontenta con su sonrisa. Antes del tratamiento, se le veían las líneas de terminación de las coronas antiguas. En este caso, se realizó un cambio de coronas antiguas por unas nuevas.
Calle Santa Catalina 5. Entlo.
20001 Donostia / San Sebastian
En Clínica Dental Gastaminza realizamos todo tipo de tratamientos con sobresalientes resultados: nuestro objetivo es que consigas la mejor salud bucodental y que tu sonrisa brille día a día. Todas las imágenes pertenecen a casos multidisciplinares desarrollados en nuestra clínica de Donostia, con revisiones periódicas y un seguimiento a largo plazo.


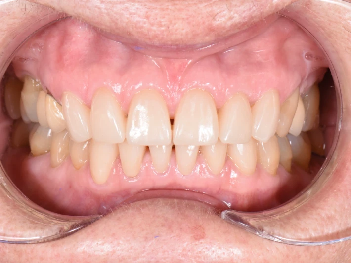
La paciente estaba descontenta con su sonrisa. Antes del tratamiento, se le veían las líneas de terminación de las coronas antiguas. En este caso, se realizó un cambio de coronas antiguas por unas nuevas.
El paciente tenía recesiones de encía que le provocaban sensibilidad, molestias durante el cepillado y alteraciones estéticas. Por eso, se realizó un injerto de tejido conectivo para posicionar las encías en su ubicación de origen.




El paciente mostraba desgastes dentarios con una cantidad excesiva de encía al sonreír. Tenía sonrisa gingival. Se le realizó un alargamiento coronario y unas coronas sobre los dientes para mejorar la estética y los desgastes.
La paciente tenía apiñamiento y maloclusión. Se le realizó un tratamiento de ortodoncia invisible.




La paciente tenía unas carillas antiguas, con mezcla de márgenes desadaptados y retracciones. Se realizaron carillas nuevas.
¿Necesitas más información sobre algún tratamiento?
¡Llámanos si quieres que te expliquemos de forma más concreta nuestras recomendaciones! Somos una clínica dental especializada en Donostia con profesionales con más de 30 años de experiencia.
La paciente tenía enfermedad periodontal, triángulos negros. Además, quería mejorar la estética. Se realizó un tratamiento con implantes dentales en Donostia, cambiando también coronas antiguas e injertos de tejido conectivo.




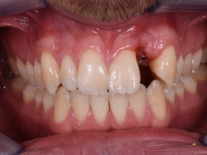
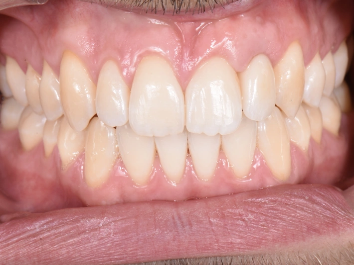
A la paciente se le fracturó un diente. Gracias a los implantes y a la tecnología digital, se hizo un implante sin alterar la estética.
A la paciente no le satisfacía su sonrisa. Quería aumentar su luminosidad y cambiar las restauraciones antiguas. Se realizó una combinación de tratamientos con blanqueamiento dental, cambio de su corona antigua y colocación de una carilla de cerámica en el otro incisivo.




El paciente presentaba una disminución del tamaño de los dientes debido al desgaste producido por el bruxismo. Para solucionarlo, se le realizó una rehabilitación mediante la combinación de un alargamiento de corona (una pequeña intervención para aumentar la longitud de las coronas de los dientes) y la colocación de coronas de zirconio en toda la boca.
La paciente acudió con fracturas en la raíz de sus premolares. Se realizaron implantes en el momento de la extracción de los dientes y se cambiaron las coronas antiguas para mejorar la adaptación de estas y mejorar su estética.


Pide cita
Si quieres saber más sobre nuestros tratamientos o solicitar un presupuesto, estaremos encantados de ayudarte. Ofrecemos atención personalizada y un sobresaliente trato con el paciente.


Presentaba una mordida invertida que se solucionó llevando su mordida a una posición de relación céntrica y rehabilitando con coronas de cerámica.
La paciente presentaba una maloclusión y una tinción muy oscura en sus dientes. Tras llevar a cabo el tratamiento de ortodoncia con alineadores invisibles, se le realizaron unas carillas de cerámica para la mejora estética.




El paciente presentaba dientes oscurecidos y manchas blanquecinas que se solucionaron con un blanqueamiento y mediante la aplicación de unas pastas mínimamente invasivas para solucionar las manchas blancas.
Presentaba los dientes desgastados por un trauma de cepillado. Se colocaron coronas de cerámica estéticas.




Presentaba unos dientes con distintas colaciones y unas restauraciones antiguas con los márgenes desacatados. Se realizó un tratamiento integral con blanqueamientos, colocación de implantes con injerto de tejido conectivo y colocación de coronas de cerámica.
Tras un tratamiento de ortodoncia invisible, a la paciente se le realizó una cirugía regenerativa para colocar posteriormente un implante en la parte anterosuperior y, posteriormente, mejorar su frente estético con carillas de cerámica.




Presentaba una falta de tejido en la zona donde debía colocarse un implante. Tras un tratamiento de ortodoncia para alinear correctamente los dientes, se realizaron injertos para regenerar los tejidos y poder colocar el implante con total estabilidad y estética.
Acudió a consulta con varias piezas dentales desahuciadas. Tras valorar su estado, se planificó la extracción de los dientes afectados y su sustitución mediante implantes dentales, recuperando así la función y la estética de su sonrisa.




La paciente deseaba mejorar el aspecto general de su sonrisa. Se realizó un blanqueamiento dental profesional que permitió devolver luminosidad y uniformidad al tono de los dientes.
Presentaba coronas antiguas con un ajuste deficiente y un color poco natural. Se sustituyeron por coronas de circonio, logrando una sonrisa más armónica, estética y acorde a sus facciones.




Llegó con un puente cerámico antiguo. Se diseñó un nuevo puente de circonio, acompañado de coronas también en circonio, para conseguir un resultado más estable, natural y duradero.
Se llevó a cabo un alargamiento de corona y la colocación de coronas de cerámica, recuperando la forma original de los dientes y mejorando tanto la función como la estética.




Acudió por desgaste dental que afectaba a su mordida y a la estética de su sonrisa. El tratamiento incluyó un alargamiento de corona y la colocación de coronas de cerámica, logrando un resultado equilibrado y funcional.
Requería una rehabilitación completa. Se combinó un tratamiento de ortodoncia con implantes y coronas para devolverle una sonrisa armónica, funcional y adaptada a sus necesidades.




El paciente presentaba problemas de oclusión y una sonrisa gingival marcada. Mediante ortodoncia y un alargamiento de corona estético se consiguió mejorar la proporción de los dientes, la alineación y la armonía de la sonrisa.
Buscaba un cambio estético general. Tras realizar un tratamiento de ortodoncia, se colocaron carillas de cerámica para perfeccionar color, forma y proporción, obteniendo un resultado natural y equilibrado.




Deseaba mejorar de manera integral el aspecto de su sonrisa. Se colocaron carillas de cerámica tanto en el sector superior como en el inferior, logrando una estética uniforme y muy natural.
Presentaba un problema mucogingival con retracción de encías. Se combinó un tratamiento de ortodoncia para mejorar la posición dental con injertos de tejido para corregir la retracción y recuperar la salud y la estética gingival.


Contacta con nosotros si quieres solicitar un presupuesto para saber cuánto te costaría realizar un tratamiento dental en Donostia.
En la clínica dental Gastaminza-Aperribay llevamos 30 años realizando todo tipo de tratamientos dentales y obteniendo la satisfacción de nuestros pacientes.
Esta web utiliza cookies para que podamos ofrecerte la mejor experiencia de usuario posible. Su información se almacena en tu navegador y realiza funciones tales como reconocerte cuando vuelves a nuestra web o ayudar a nuestro equipo a comprender qué secciones de la web encuentras más interesantes y útiles.
Tienen que activarse siempre para que podamos guardar tus preferencias de ajustes de privacidad.
Si desactivas esta opción no podremos guardar tus preferencias. Esto significa que cada vez que visites esta web tendrás que activar o desactivarlas de nuevo.
Esta web utiliza Google Analytics para recopilar información anónima tal como el número de visitantes del sitio, o las páginas más populares.
Dejar esta opción activa nos permite mejorar nuestra web. Puede desactivarlas con el siguiente botón:
¡Por favor, activa primero las estrictamente necesarias para que podamos guardar tus preferencias!